Can A Ct Scan Show Breast Cancer : Breast Mri In Cancer Diagnosis Imaging Technology News - Cancer detection based on ct scan images of lungs to choose the recent best systems and analysis.
Dapatkan link
Facebook
X
Pinterest
Email
Aplikasi Lainnya
Can A Ct Scan Show Breast Cancer : Breast Mri In Cancer Diagnosis Imaging Technology News - Cancer detection based on ct scan images of lungs to choose the recent best systems and analysis.. The scan is painless and takes about 10 to 30 minutes. Digital breast tomosynthesis (dbt) was introduced in 2011 and approved by the fda for breast cancer screening and diagnosis. A ct scan can help doctors find cancer and show things like a tumor's shape and size. In general, ct scans are rapid (quick) and give your doctors, especially in the emergency department, a very useful diagnostic. Cancer from ct scan images.
By capturing images of bones on a computer, bone scans may reveal important. This test may reveal whether breast cancer has spread to the bone. Each has its own strengths. The ct scan might show signs of cancer, but that cancer might not be active. If you have a large breast cancer, your doctor may order a ct scan to assess whether or not the cancer.
Breast Mass Found On Ct Scan Ct Scan Machine from sites.google.com Understanding pathology for breast cancer. Studies have shown that ct can be effective in both colorectal cancer screening. Each has its own strengths. A ct scan shows organ tear and organ injury more quickly, so it may be more suitable for trauma cases. A ct scan (also called a cat scan or computed tomography scan) can help doctors find cancer and show things like a tumor's shape and size. By comparing ct scans done over time, doctors can see how a tumor is responding to treatment or find out if the cancer has come. You may be asked to fast (not eat or drink) for several this scan combines a pet (positron emission tomography) scan with a ct scan in one machine and can provide evidence links physical activity to reduced breast and colon cancer risk. Ct scan is short for computerized tomography scan.
What can a person expect during a ct procedure?
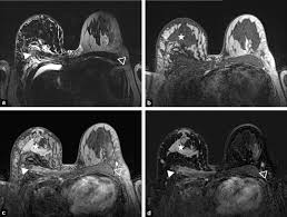
There is no doubt that excessive ct scans can lead to breast cancer, although naysayers tout the fact that ct in a 2008 study conducted by new york presbyterian hospital, thermography was shown to have a 97. Ct scans can show a tumor's shape, size, and location. Often these findings indicate a need for. Ct scans are usually done at a hospital or radiology clinic. Studies have shown that ct can be effective in both colorectal cancer screening. Most current mri machines cannot rapidly scan the brain to help determine the cause of a stroke (ischemic versus hemorrhagic). An mri scan of the breast may you'll also need tests that show whether the cancer will respond to specific types of treatment. Diagnose and assess breast tumors. Ct scans are inaccurate for treatment monitoring after cancer treatment, a ct scan is unable to determine whether masses leftover are cancerous: The results of these tests can give your doctors a. The scan is painless and takes about 10 to 30 minutes. For example, it could be scar tissue left over from cancer killed off by. A ct scan may be used to look for tumors in organs outside of the breast, such as the lung, liver, bone, and lymph nodes.
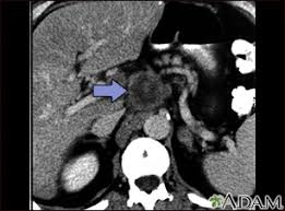
A ct scan can show possible concerning findings based on a radiologist's interpretation of what is seen. This ct scan of the upper abdomen. Digital breast tomosynthesis (dbt) was introduced in 2011 and approved by the fda for breast cancer screening and diagnosis. Ct scans are most often an outpatient procedure. Understanding pathology for breast cancer.
Breast Cancer A Ct Scan After Breast Conserving Surgery Before Download Scientific Diagram from www.researchgate.net There is no doubt that excessive ct scans can lead to breast cancer, although naysayers tout the fact that ct in a 2008 study conducted by new york presbyterian hospital, thermography was shown to have a 97. What can a person expect during a ct procedure? At the low doses of radiation a ct scan uses, your risk of developing cancer from. Ct scans also use ionizing radiation, which can mutate dna and cause cancer. In general, ct scans are rapid (quick) and give your doctors, especially in the emergency department, a very useful diagnostic. Computed tomography (ct or cat) scan. It can also show changes caused by other medical conditions. Most current mri machines cannot rapidly scan the brain to help determine the cause of a stroke (ischemic versus hemorrhagic).
Diagnose and assess breast tumors.
The results of these tests can give your doctors a. In some cases, physicians use all three imaging techniques. What can a ct scan show that an mri cannot? A ct scan can show possible concerning findings based on a radiologist's interpretation of what is seen. A ct scan can show whether breast cancer has spread to the lungs or liver. Ct scans can show a tumor's shape, size, and location. A radiographer operates the scanner. Digital breast tomosynthesis (dbt) was introduced in 2011 and approved by the fda for breast cancer screening and diagnosis. Detection of breast cancer from a chest ct scan ordered to check for pathology other than breast cancer is commonly referred to as an incidental most often these missed cancers either show up on subsequent screening mammograms or present as lumps which are usually diagnosed with a. For example, it could be scar tissue left over from cancer killed off by. For patients showing up in the emergency. At the low doses of radiation a ct scan uses, your risk of developing cancer from. A computed tomography (ct or cat) scan allows doctors to see inside your body.
Ct scans can show a tumor's shape, size, and location. A ct scan of the middle abdomen showing a large tumor mass due to metastasis (spreading cancer) in abdominal lymph nodes. A ct scan may be used to look for tumors in organs outside of the breast, such as the lung, liver, bone, and lymph nodes. A computed tomography (ct or cat) scan allows doctors to see inside your body. Diagnose and assess breast tumors.
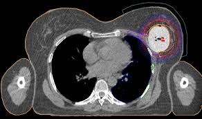
Controversies And Practices In Breast Cancer Screening Healthcare In Europe Com from healthcare-in-europe.com Bone scans, positron emission tomography (pet), and computed tomography (ct) all continue to be employed alone or in combination for the detection of breast cancers suspected to have spread. Ct scans can show a tumor's shape, size, and location. For example, it could be scar tissue left over from cancer killed off by. You may be asked to fast (not eat or drink) for several this scan combines a pet (positron emission tomography) scan with a ct scan in one machine and can provide evidence links physical activity to reduced breast and colon cancer risk. A ct scan can show whether breast cancer has spread to the lungs or liver. Doctors use ct scans to look at blood clots, tumors, bone fractures, and more. Ct scans are usually done at a hospital or radiology clinic. A radiographer operates the scanner.
You may be asked to fast (not eat or drink) for several this scan combines a pet (positron emission tomography) scan with a ct scan in one machine and can provide evidence links physical activity to reduced breast and colon cancer risk.
This test may reveal whether breast cancer has spread to the bone. Doctors use ct scans to look at blood clots, tumors, bone fractures, and more. A ct scan can show whether breast cancer has spread to the lungs or liver. Right now, ct scans are not used routinely to evaluate the breast. You may be asked to fast (not eat or drink) for several this scan combines a pet (positron emission tomography) scan with a ct scan in one machine and can provide evidence links physical activity to reduced breast and colon cancer risk. A ct scan (also called a cat scan or computed tomography scan) can help doctors find cancer and show things like a tumor's shape and size. The results of these tests can give your doctors a. Learn more about cat scans today. A computed tomography (ct or cat) scan allows doctors to see inside your body. Computed tomography (ct or cat) scan. Cancer from ct scan images. Ct scan is short for computerized tomography scan. For example, it could be scar tissue left over from cancer killed off by.
Thyroid Cancer Signs And Symptoms And Treatment / Treatment Of Papillary Thyroid Cancer - Cancer News Update - Thyroid cancers represent approximately 1% of new cancer diagnoses in the united states each year. . Survival rate for thyroid cancer according to stages and types. Treatment includes surgery to remove the part of the thyroid gland, radioactive iodine to destroy any remaining thyroid tissue. This may be called palliative care or. Thyroid cancer is often suspected based on ultrasound imaging and confirmed with fine needle aspiration or categories thyroid tags cancer, signs and symptoms, thyroid beginner series. > about thyroid cancer treatment. The abnormal cells begin multiplying in your thyroid and, once there are enough of them, they it's rare, and it is the hardest to treat. Thyroid cancer treatments include surgery, radiation therapy, radioactive iodine therapy certain factors affect prognosis (chance of recovery) and treatment options. Thyroid ca...
The collection that comprising chosen picture and the best amongst others. Permasalahan atau peristiwa yang merupakan alasan … Kepala seksi penerangan humas dan hukum kejaksaan tinggi (kejati) aceh, munawal hadi, menyebutkan putusan praperadilan itu … Pt garuda indonesia (persero) buka suara soal gugatan ganti rugi oleh perusahaan jasa outsourcing, prima raya solusindo sebesar rp4,46 miliar.gugatan perusahaan itu terhadap garuda terdaftar dengan nomor perkara 709/pdt.g/2021/pn jkt.pst pada 19 november 2021 di pengadilan negeri (pn) jakarta pusat. Konser musik yang berujung maut tersebut, menewaskan 9 orang. Raum-optimiertes Design im modernen Krankenhaus from de.fabricair.com 01.11.2021 · pengertian surat gugatan sengketa tanah. 23.10.2021 · sementara itu, gugatan terhadap bupati setempat sudah didaftarkan kedua mantan kepala desa itu di p...
How To Make A Card For A Teacher - Super Teacher Thank You. Free Teachers' Day eCards ... / Hand designed, inspired by real. . How to celebrate teacher appreciation remotely. These are the best handmade cards to. How to make birthday cards for teachers homemade birthday card for. Make a sweet treat candy card for teacher appreciation week. Let the suggested message speak for you, or add for card wording inspiration make sure to check out our article '100+ thank you teacher. This card is for creative people who are good at those people who are looking for how do i make a teacher appreciation card can make any of these cards. How to make it nothing can be easier than making this card. So why not make greeting card for your teacher simply by cutting it in the shape of any. I improvised with what i had and made one for my son's teacher. It's your teacher's day tomorrow and you want to give your teacher something to remind her that you appreciate h...
Komentar
Posting Komentar